嗜鉻細胞瘤及副神經節瘤是一類內分泌系統的少見病,嗜鉻細胞瘤是起源于腎上腺髓質,副神經節瘤是起源于腎上腺外的交感神經鏈并具有激素分泌功能的神經內分泌腫瘤,主要合成、分泌和釋放大量兒茶酚胺,引起患者血壓升高和代謝性改變等一系列臨床癥候群,并造成心、腦、腎、血管等嚴重并發癥甚至成為患者死亡的主要原因。

無線腹腔鏡是5G+4K無線智能腹腔鏡系統,重慶大學附屬涪陵醫院泌尿外科是重慶市率先采用無線腹腔鏡技術的科室。解除了傳統腹腔鏡手術中多條線纜的牽絆和束縛,將高清圖像實時無損傳輸到4K顯示器,具有無線傳輸、自帶光源、微型化、智能化、免消毒、連接方便、縮短準備時間等優勢。
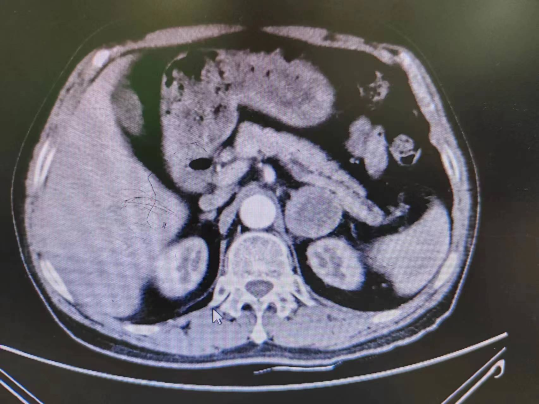
患者熊XX,67歲,因發現頭暈、頭痛曾多次于外院就診,到新橋醫院就診完善腎上腺CT考慮嗜鉻細胞瘤,既往有高血壓病史3年,血壓更高達230/120mmHg。我院高新區院區開診后,患者慕名而來。術前積極完善血尿兒茶酚胺代謝產物(MNS)均明顯升高,患者于我院高新區院區及江南院區泌尿外科積極控制血壓、心率、血糖,術前充分擴容。
因腫瘤位置位于腎蒂周圍,術中觸碰腫瘤導致血壓明顯升高,血壓波動較大,腫瘤表面血供豐富,不僅需要手術醫生豐富的臨床經驗和高超的技術水平,也是對醫生心理素質、勇氣和毅力的嚴峻考驗。
經過泌尿外科醫師全體討論,在進行術前準備2-3周后,再次請多學科討論評估手術風險,并與患者及家屬充分溝通后于6月30日行腹腔鏡下左側腎上腺嗜鉻細胞瘤切除術。手術在陳勇主任醫師的指導下,由孫偉副主任醫師主刀及王傳麟醫師完成,術中見腫瘤與腎蒂血管周圍粘連緊密,與腎動脈、腎靜脈分界不清,稍有不慎,可能損傷腎蒂血管可能需要行腎切除術,且分離腫瘤過程中血壓波動較大。但在孫偉精準操作及分離下,與麻醉醫生和手術護士團隊密切配合,經過2小時的手術,順利切除嗜鉻細胞瘤,并保護好腎臟血管及周圍組織。術后患者順利出院,術后血壓及血糖控制良好。


本次手術的開展,標志泌尿外科微創手術方面的技術又上新臺階,標志著我院科室間更加緊密的協作,泌尿外科將繼續潛心鉆研,精進技術,引領渝東南泌尿外科的發展,為更多患者提供更優質的診療服務。
文章來源:重慶大學附屬涪陵醫院訂閱號